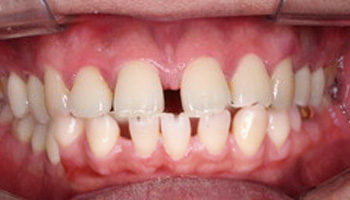
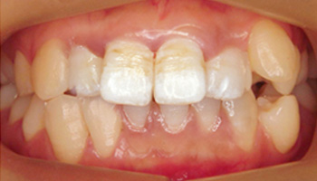
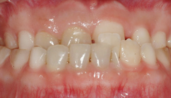
치아교정성형
치과치료고민과 궁금하셨던 모든것을 남겨주세요. 항상 친절하고 신속하게 답변드리겠습니다.
| 번호 | 제목 | 답변 |
|---|---|---|
| 8 | 분당전체링크 | 답변대기 |
| 7 | 분당전체링크 | 답변대기 |
| 6 | 서울흥신소 선택 신뢰와 경험을 갖춘 … | 답변대기 |
| 5 | 교정 비용 및 기타 문의 | 답변완료 |
| 4 | 임플란트가격등 | 답변완료 |
| 3 | 반대교합 | 답변완료 |
| 2 | 임플란트 견적 | 답변완료 |
| 1 | 아이교정 문의 | 답변완료 |
카카오톡 실시간 상담을 받으세요.
청담 네오플란트치과와 카톡 친구가 되시면 더욱 빠른 상담을 받으실 수 있습니다.
경기도 부천시 원미구 중동 1122-1번지
(구) 부천시 원미구 중동 1122-1번지 상록빌딩 3층

1644.8828